![]() |
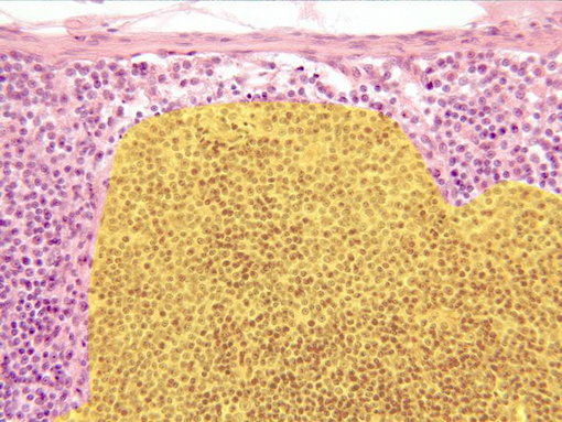
Aspect of the zone next to the ganglionary
capsule
observed with the objective of 40x. Under the capsule appear
the
subcapsular sine,
a looser arranged zone, and immediately underneath is
situated part of a
lymphatic follicle
(yellow),
containing numerous lymphocytes showing blue-stained nuclei
![]() |