![]() |
|
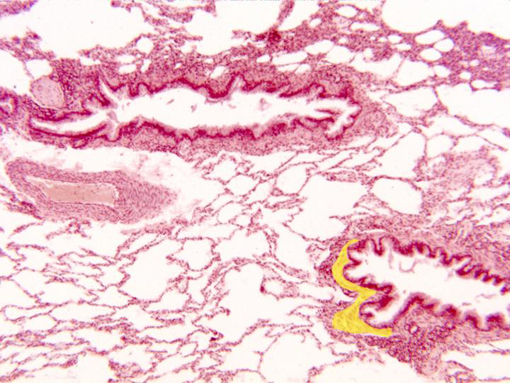
Aspect of a lung section observed with the objective of 10x.
We can see two
bronchi
and a blood vessel, concretely a
venule,
all surrounded by many
alveoli.
The wall of each bronchus is formed by a prismatic
ciliated
pseudostratified
epithelium,
a conjunctive
lamina propria
containing
smooth muscle fibers (yellow),
some plaques of hyaline
cartilage
and, sometimes, small
glands.
|