![]() |
|
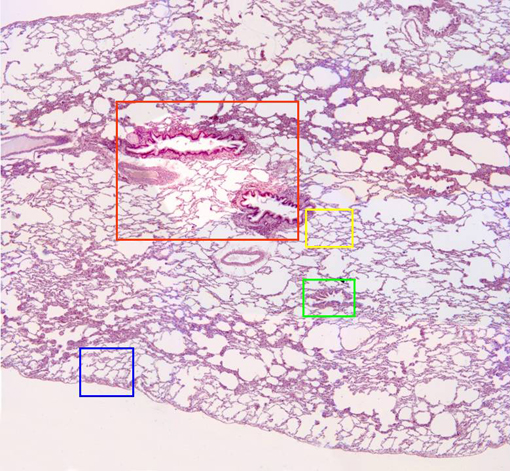
Photographic reconstruction of a lung section stained with
hematoxylin/eosin and observed with the objective of 10x.
The
pleuron
surrounds the pulmonary parenchyma. We can distinguish some
bronchis
and
bronchioles,
as well as
blood vessels
of diverse caliber. The larger empty spaces correspond to
alveolar sacs.
Details of these structures can be observed in other
microphotographies (zones framed in red, green, blue, and
yellow)
|