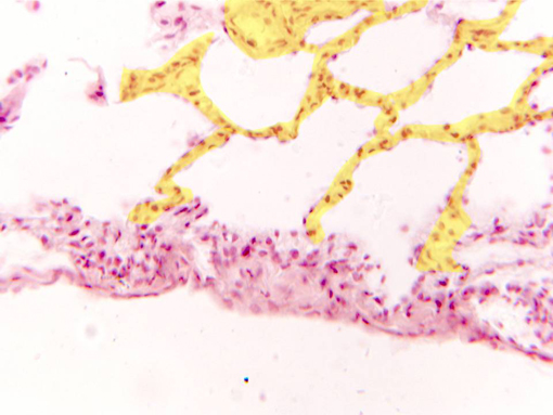
Peripheral portion of the lung observed with the objective of 40x. We can observe the
visceral pleuron
and the
alveoli
, separated by i
nteralveolar septa (yellow)
.