![]() |
|
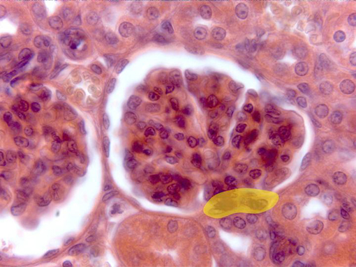
Detail of the renal corpuscles observed with the objective of 100x. We can observe the glomeruli surrounded by the Bowman´s capsule, in which we can see the parietal leaf (more externally located and showing apparent nuclei of endothelial cells) and the visceral leaf (in contact with the glomerulus). Between both leaves is located the space of Bowman. Close to the vascular pole of the corpuscle is placed the macula densa (yellow), formed by an accumulation of nuclei corresponding to the cells of the convoluted tubule. In the proximity of the macula densa appear the sections of proximal and distal convoluted tubules, as well as of some blood vessels . |