![]() |
|
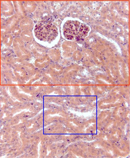
Photographic reconstruction of the renal cortex observed with the objective of 40x. We can see two renal corpuscles and some tubules around them. Details of corpuscles and tubules are offered at higher magnification in other microphotographies (zones framed in red and blue, respectively) |