Contenidos
Tejido conectivo
Escribir la respuesta en el recuadro
Mostrar todas las preguntas
<=
=>
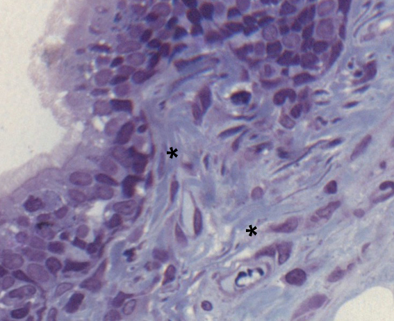
¿A qué tipo celular corresponden los núcleos marcados con asteriscos?
Comprobar respuesta
Mostrar respuesta
¿A qué tipo celular corresponden los núcleos teñidos de azul?
Comprobar respuesta
Mostrar respuesta
¿De qué variedad de tejido conectivo se trata?
Comprobar respuesta
Mostrar respuesta
¿Qué variedad de tejido conectivo aparece en la microfotografía?
Comprobar respuesta
Mostrar respuesta
¿Cómo se llaman las estructuras señaladas con asteriscos?
Comprobar respuesta
Mostrar respuesta
¿Cual de los tres tejidos (A, B o C) es conectivo?
Comprobar respuesta
Mostrar respuesta
¿Cual de los tres tejidos (A, B o C) es conectivo?
Comprobar respuesta
Mostrar respuesta
¿A qué células corresponden los núcleos marcados con asteriscos?
Comprobar respuesta
Mostrar respuesta
¿Dónde se encuentra el tejido conectivo: en A o en B?
Comprobar respuesta
Mostrar respuesta
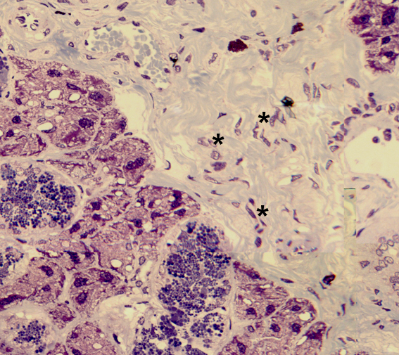
¿Que tipo de fibras son las marcadas con un asterisco?
Comprobar respuesta
Mostrar respuesta
¿Qué nombre rreciben las estructuras señaladas con asteriscos?
Comprobar respuesta
Mostrar respuesta
¿Qué clase de fibras son las que aparecen marcadas con asteriscos?
Comprobar respuesta
Mostrar respuesta
¿Qué clase de fibras aparecen marcadas con asteriscos?
Comprobar respuesta
Mostrar respuesta
¿Qué variedad de conectivo aparece señalada con A?
Comprobar respuesta
Mostrar respuesta
correcto
Contenidos