Contenidos
Tejido muscular
Escribir la respuesta en el recuadro
Mostrar todas las preguntas
<=
=>
¿Cuantas capas de fibras musculares lisas se observan en esta imagen?
Comprobar respuesta
Mostrar respuesta
¿En qué sentido están cortadas las fibras musculares marcadas con A?
Comprobar respuesta
Mostrar respuesta
Indicar el tipo de células cuyos núcleos aparecen marcados con asteriscos
Comprobar respuesta
Mostrar respuesta
¿Qué tipo de fibras musculares son las que aparecen marcadas con asteriscos?
Comprobar respuesta
Mostrar respuesta
¿Que tipo de fibras musculares se observan en la microfotografía?
Comprobar respuesta
Mostrar respuesta
¿Qué tipo de fibras musculares son las que aparecen marcadas con asteriscos?
Comprobar respuesta
Mostrar respuesta
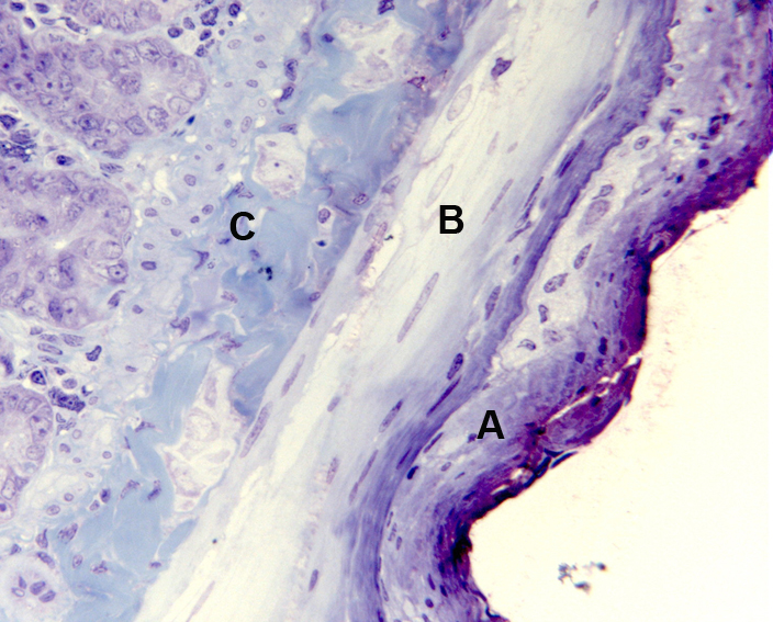
¿Cual o cuales de las capas de tejido señaladas por A, B y C están formadas por músculo liso?
Comprobar respuesta
Mostrar respuesta
correcto
Contenidos