![]() |
|
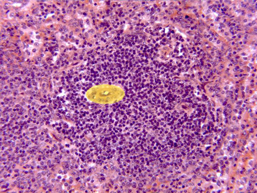
Con el objetivo de 40x se observa uno de los
corpúsculos de Malpighi, en el cual se distingue la arteria
central (amarillo), rodeada del
centro germinativo, con una marcada
densidad de linfocitos y una zona marginal de transición con
la pulpa roja a la izquierda, de menor densidad linfocítica.
Más externamente se aprecia parte de la citada
pulpa roja
|