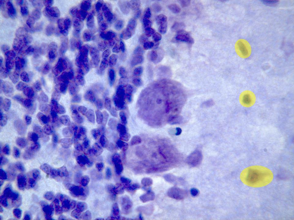
En esta microfotografía, obtenida con el objetivo de 100x, se observan dos grandes
células de Purkinje
, algunos núcleos de células de la capa molecular (amarillo) y una gran densidad de neuronas en la
capa granular