![]() |
|
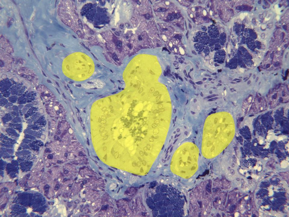
Aspecto con
objetivo de 40x de
una zona ocupada por un conducto excretor
cortado transversalmente en distintas
secciones (amarillo). En cada una de ellas se aprecia
su luz, así como el revestimiento
epitelial cuboideo con aparentes
núcleos
teñidos de azul. En torno a los conductos,
aparece un
tejido conectivo integrado por
fibras de colágeno teñidas de azul claro y
numerosos núcleos de los
fibrocitos, en
azul más oscuro. Alrededor de la zona de
conectivo aparecen acinos serosos teñidos en
azul y mucosos en rojo
|