|
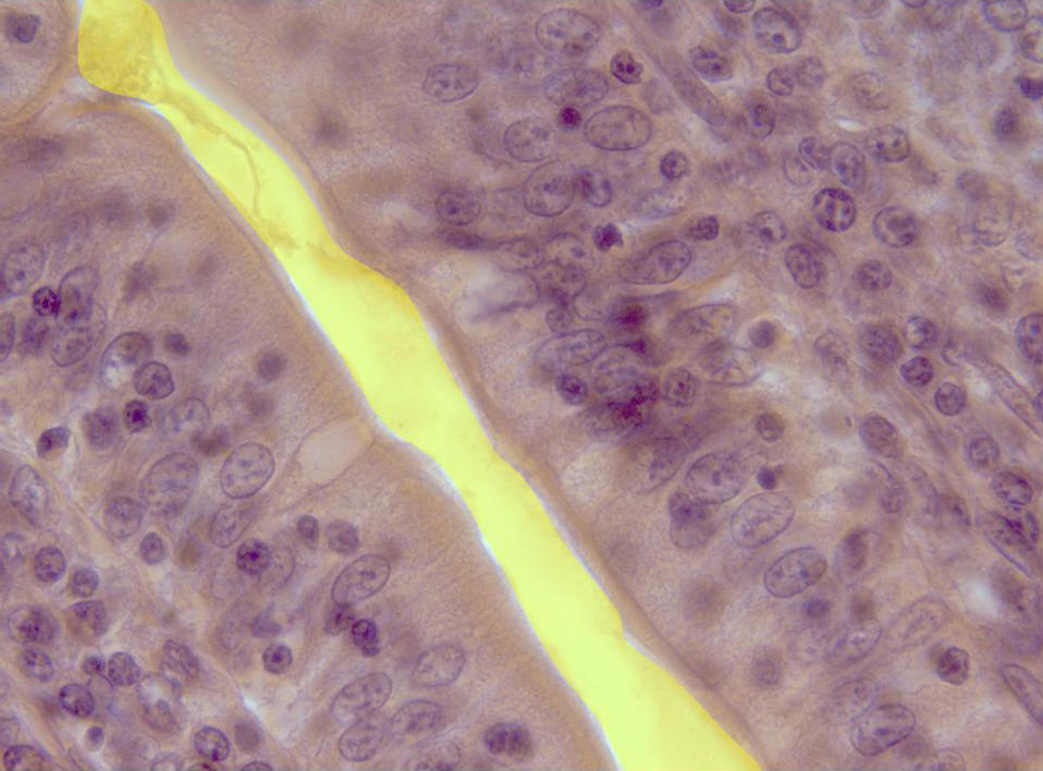
Parte de dos vellosidades intestinales
observadas con el objetivo de 100x. Se aprecia la luz intestinal (amarillo) y en
contacto con ella el epitelio prismático, formado por células provistas de
un aparente borde estriado, cuyos núcleos teñidos de azul son también
visibles. También se incluyen en el epitelio
células caliciformes encargadas
de producir una secreción mucosa. Por debajo del epitelio se encuentra la
lamina propia, formada por tejido conjuntivo laxo |