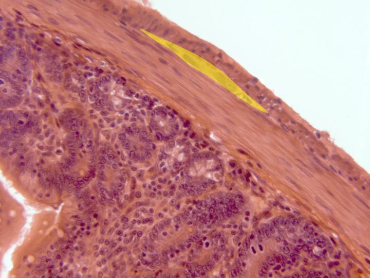
Detalle de la pared intestinal y parte de las vellosidades con el objetivo de 40x. De fuera a dentro aparecen la serosa, capas musculares externa e interna, con un ganglio (amarillo) del plexo de Auerbach entre ambas, submucosa y mucosa