![]() |
|
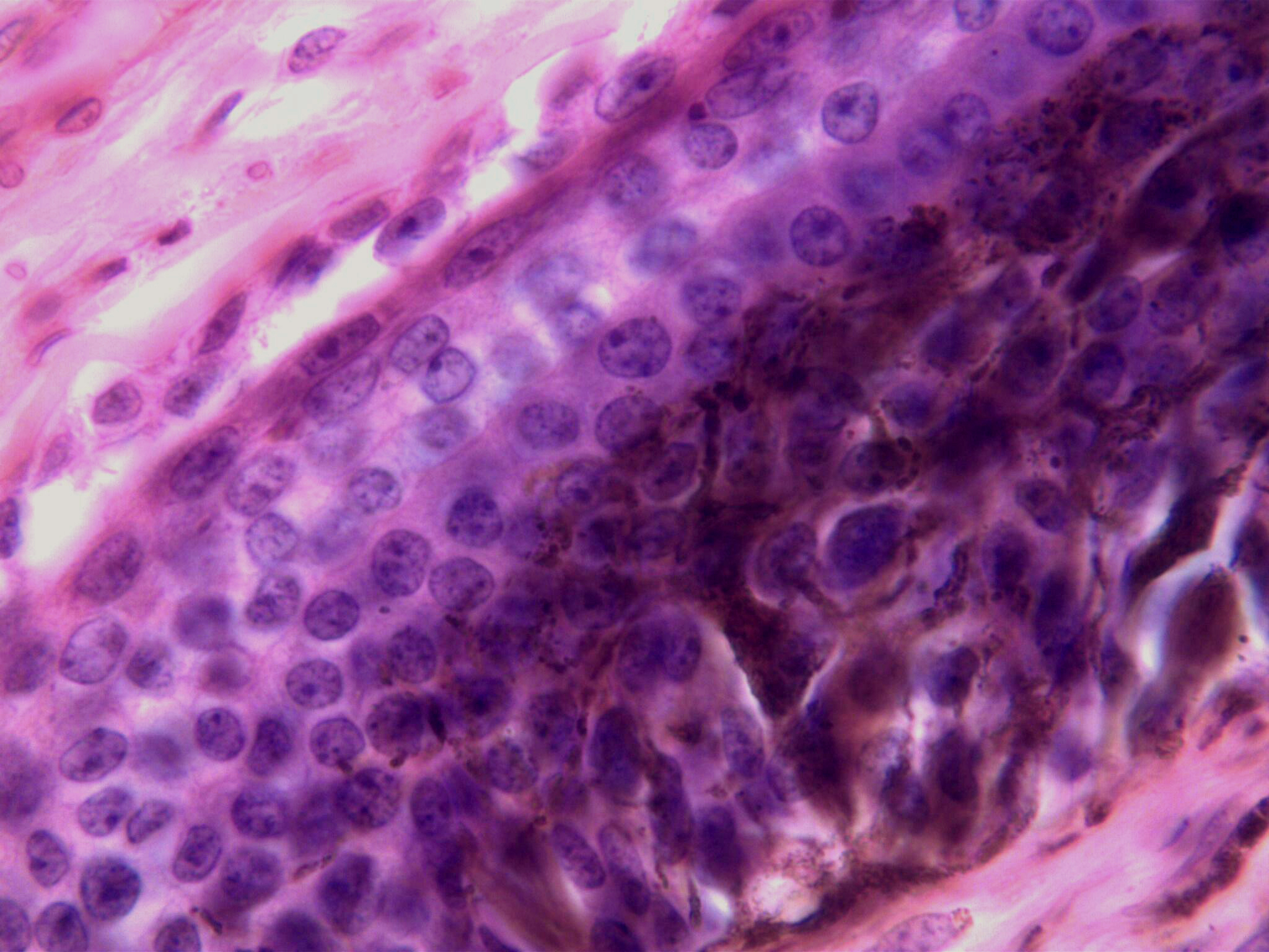
Detalle, con el objetivo de 100x de la parte del bulbo
piloso correspondiente a las células de la matriz. Entre
ellas se aprecian con claridad algunos
melanocitos, de
aspecto ramificado y con abundantes gránulos de pigmento en
su interior
|