![]() |
|
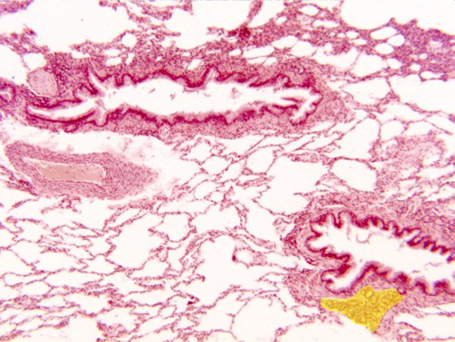
Aspecto de una zona del pulmón con el
objetivo de 10x, apreciándose dos
bronquios y un vaso
sanguíneo, concretamente una
vénula, rodeados por gran
número de alvéolos. La pared de cada bronquio está formada
por epitelio prismático seudoestratificado ciliado, una
lámina propia conjuntiva con
fibras musculares lisas,
algunas placas de cartílago hialino y a veces pequeñas
glándulas (amarillo)
|