![]() |
|
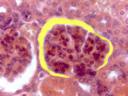
Detalle de los corpúsculos renales con el objetivo de 100x. Se observan los glomérulos rodeados de la cápsula de Bowman en la cual se distinguen una hoja parietal más externa, con aparentes núcleos de células endoteliales y otra visceral, en contacto con el glomérulo, quedando entre ambas el llamado espacio de Bowman (amarillo). A nivel del polo vascular del corpúsculo se encuentra la mácula densa, formada por una acumulación de núcleos correspondientes a las células del túbulo contorneado. En la proximidad de ésta se aprecian las secciones de sendos túbulos contorneados proximal y distal, así como de algunos vasos sanguíneos |