![]() |
|
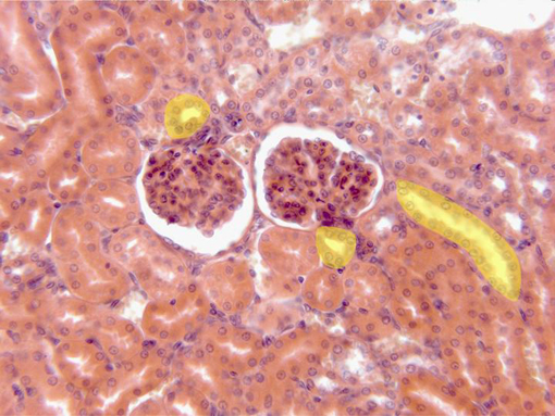
Aspecto de parte de la corteza renal, con el objetivo de 40x, pudiendo apreciarse dos corpúsculos renales y un conjunto de túbulos en torno a ellos. Cada corpúsculo está formado por el glomérulo renal, constituido por una serie de capilares sanguíneos que penetran en el mismo por el denominado polo vascular. En torno al corpúsculo se dispone la cápsula de Bowman, dejando un aparente espacio periglomerular. Son igualmente visibles secciones longitudinales y transversales de los túbulos contorneados proximales y distales (amarillo) de las nefronas |