![]() |
|
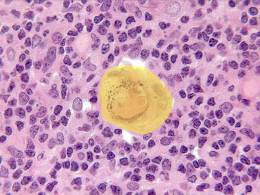
Detalle, con el objetivo de 100x, de uno de
los corpúsculos de Hassall (amarillo) localizado en la médula y rodeado
por numerosos linfocitos. Está formado por capas
concéntricas de células epiteliales planas, mostrando sus
núcleos teñidos de azul. Las localizadas en el centro
contienen numerosos gránulos oscuros de
queratohialina
|