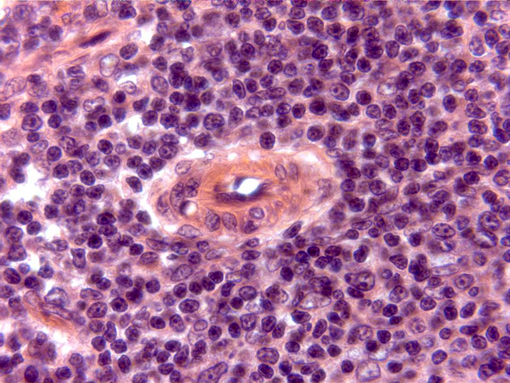
Detail of a
Malpighian corpuscle
observed with the objective of 100x. We can observe the
central artery
central artery wall, surrounded by the
germinal center
, showing a great density of lymphocytes