![]() |
|
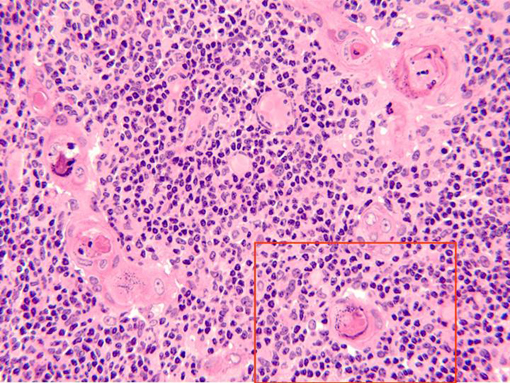
Aspect of the medullar zone of a lobule observed with the
objective of 40x. This zone shows the
Hassall“s corpuscles,
characteristic of this organ, surrounded by numerous
blue-stained nuclei of lymphocytes. Details of a corpuscle
are observed in other microphotography (zone framed in red)
|