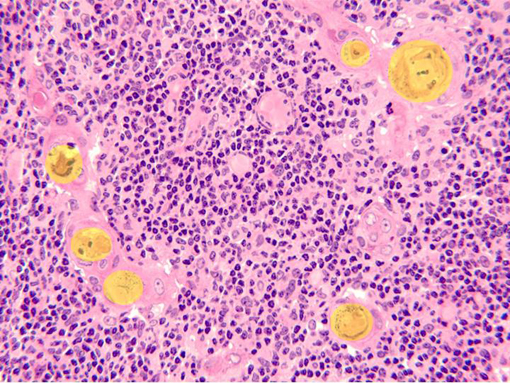
Aspect of the medullar zone of a lobule observed with the objective of 40x. This zone shows the Hassall“s corpuscles (yellow), characteristic of this organ, surrounded by numerous blue-stained nuclei of lymphocytes.